Emergency Dental Care
Are you having a dental emergency?
Give us a call. We can help!
If you believe you are having a dental emergency, please contact us immediately at 978-486-8261 for a same-day dental appointment. If it is outside of our office hours, listed below, or we were unable to answer the phone, please leave a message and we will return your call as soon as possible.
Common dental emergencies include:
- severe toothaches
- knocked-out teeth
- cracked or broken teeth
- abscesses
- bleeding gums
- jaw injuries
Office Hours
- Monday: 8:00 a.m. to 5:00 p.m.
- Tuesday: 8:00 a.m. to 5:00 p.m.
- Wednesday: 8:00 a.m. to 5:00 p.m.
- Thursday: 8:00 a.m. to 5:00 p.m.
- Friday: 8:00 a.m. to 5:00 p.m.
Dental issues and accidents can happen at any time. Sometimes they require immediate treatment, and when that is the case, we are here to assist. If you are searching for emergency dentistry in Littleton, MA, we are your solution.
Cost of a Dental Emergency
Dental emergencies follow the same payment guidelines as normal dental practices. For a list of our accepted insurance providers, forms of payment and all other payment information, visit our financial page or visit our office fees page to see how much preventative, cosmetic, or restorative procedures cost.
Insurance and Financial Information Office Fees
Urgent Dental Care
Every dental injury is urgent. But if it’s a sports injury, it’s unlikely that your dentist is around to help out. In fact, the incident often takes place away from home.
With all types of dental injuries, the sooner you treat them the better. So even if your dentist isn’t around, or you’re on the road, be sure to put in a call to a dental office right away (even if it’s from the emergency room).
Explain the nature of the injury and the event that caused it and your dentist will help you decide what needs to be done and how soon. Even when we’re not in the office, one of the doctors is always on call and will get back to you quickly to review your situation.
Time lines suggested below should serve as a guide, however it is your dentist who should ultimately make the decision about what to do.
What To Do and When To Do It
Timing and appropriate treatment are both critical when trying to save an injured tooth. As far as timing goes, we can break things down into the following three categories:
Immediate
Treat Within 5 Minutes
If a tooth has been knocked completely out of the socket (“avulsed”) this is a dental emergency, the faster you act the better the chances of saving the tooth long term.
Learn MoreUrgent
Treat Within 6 Hours
If the tooth is still in the socket but looks as though it’s been pushed in, tipped or twisted, or starting to come out, you have an urgent situation. Although the injury is considered serious, you have a much better chance of keeping the tooth than if it had been avulsed (knocked out).
Learn MoreLess Urgent
Treat Within 12 Hours
If a tooth is broken or chipped but still firmly anchored in the socket (not loose and not moved from its original position), chances are very good for keeping the tooth and timing is less critical.
Learn MoreImmediate Treatment – Within 5 Minutes
What to do when a tooth is completely knocked out of the socket
Immediate Treatment For A Permanent Avulsed Tooth
When a tooth has been completely knocked out it needs to be placed back in the socket (called “replantation”) within five minutes. The best person to do this is a trusted caregiver or athletic trainer, since you’ll need cooperation between the caregiver and the injured person.
To remove debris from the tooth, it must be rinsed in cold water. Hold the tooth by its crown (the shiny white part of the tooth), not by the root and be very careful not to scrub or scrape the root.
Next, grasp the crown between your thumb and forefinger with the smooth flat surface facing you. Next, firmly seat the tooth back into the socket and hold it in place. For an upper tooth this requires placing your other hand on top of the person’s head as you push, so you won’t force their head back. If it’s a bottom tooth, use your other hand to support their jaw as you push the tooth into place. Don’t worry about positioning the tooth “perfectly”, the dentist can always adjust it later.
You may find that the tooth lifts out of the socket a bit if you let go too soon. That’s because it’s being displaced by blood that’s accumulated in the socket. So, apply sustained pressure until you’re sure the tooth is in a stable position and the blood has been displaced.

Next, the tooth must be held in place by hand or with a wad of wet gauze or tissue to stabilize it.
Bleeding from the mouth or lip can usually be controlled by steady, direct pressure for 5 minutes by a caregiver. If the injured person cannot or will not cooperate with having the tooth replanted, or if severe damage to socket and/or adjacent teeth makes it impossible, don’t panic. You can still control bleeding with direct pressure and transport the tooth.
To keep it moist, place the tooth in either cold milk or the patient’s own saliva and transport the patient and tooth to a dentist.
NOTE: A recent survey showed that 80% of phys-ed teachers, school nurses, swimming pool attendants and parents of teenagers would be reluctant to replant an avulsed tooth. The main reason given was lack of knowledge and training. An avulsed permanent tooth is the only dental injury where immediate action affects long term results, with immediate replantation having positive lifelong consequences for tooth survival.
Immediate Treatment For A Primary Avulsed Tooth
Primary (baby) teeth are generally not replanted. Replantation of primary teeth is not recommended by pediatric dentists.
The major reason for this is that the health and normal eruption of the underlying permanent tooth can be affected. Replanting primary teeth can damage the developing permanent tooth by causing infection to spread to it or interfering with its ability to erupt normally.
Baby teeth act as guides for erupting permanent teeth. So, once a baby tooth is knocked out the most important issue is to retain the space it occupied. If the space isn’t maintained, adjacent teeth will drift together and crowd out the underlying permanent tooth, making it impossible for it to erupt.
Therefore, more important than replantation is to see your dentist or pedodontist (children’s dentist) to determine how to maintain the space the baby tooth occupied. This may prevent the need for orthodontic treatment to regain space later.
An x-ray that illustrates the risk of how replanting a primary tooth could adversely affect the underlying permanent tooth.
Urgent Dental Care – Treatment Within 6 Hours
What to do when a tooth is moved from its original position
Urgent Dental Care – Treatment For A Permanent Displaced Tooth
Permanent (adult) tooth injuries: For a tooth that’s been loosened or displaced, but is still in the socket, you still want to take care of it quickly. But, it’s less clear in this case whether the long term outcome is affected by a fast response. The injuries here involve parts of the tooth chipping or cracking or the tooth being displaced, so it’s mainly for the comfort of the individual that you’ll want to see a dentist within a few hours.
Since most of us aren’t used to seeing bleeding in the mouth, parents and care givers often decide to go to the emergency room. Even if that’s where you go, it’s still wise to call your dentist from the ER to get advice on what treatment may be needed.
If you’re so lucky as to have a dentist on hand with a full emergency kit, he or she will be able to stabilize the tooth right away. This is done by numbing the area, moving the tooth (or teeth) back into position, and either bonding them together or placing an orthodontic wire across the arch. Once their teeth are stabilized, athletes can safely get back in the game without affecting the long-term outcome of the injury.
Splinting joins loose teeth together helping to stabilize them.
Note: While less urgent than an avulsed tooth, teeth that have been displaced still need to be seen by a dentist. The longer they’re left untreated, the harder it will be to get them back into position (blood clotting in the socket makes repositioning difficult). Impact that drives a tooth too far INTO the socket can cause bone damage that makes it impossible to save the tooth. Either way, all teeth with these types of injuries will have to be splinted for 10 days to 3 months depending on the situation.
Urgent Dental Care – Treatment For A Primary Displaced Tooth
Primary (baby or deciduous) tooth injuries: No one wants to see a child in pain or bleeding, so a fast trip to the dentist is certainly appropriate. If a child can’t bite together normally, call a dentist right away, since a tooth is probably displaced.
After they see the dentist or pedodontist (children’s dentist), provide the child with pain medication and rest. A visit to the dentist and a good night’s sleep is often all that’s needed for a child to feel better after a playground accident.
Treatment within 6 hours will normally save a baby tooth long term.
Less Urgent Treatment – Within 12 Hours
Teeth broken or chipped but not moved from their original position
Less Urgent Treatment For A Chipped Permanent Tooth
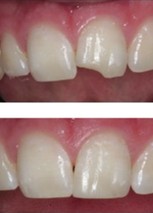
Chipped or fractured teeth: A chipped tooth is typically sensitive to temperature and touch. This may or may not indicate an “exposed nerve.” Once you chip the tooth enamel enough to expose dentin (the softer, yellow part of the tooth that lies underneath the enamel) you will almost always have some sensitivity. That’s because the dentin provides a channel to the inner part of the tooth where the actual nerve tissue lies. This inner chamber, called the “pulp chamber,” contains a blood supply as well as nerve tissue. If the chip is deep enough to expose it, pain and sensitivity are more intense and may drive a patient to seek treatment immediately.
Although chipped or fractured teeth should be seen by a dentist promptly, the treatment of a pulp (nerve) exposure 12 or more hours after a fracture will NOT affect long-term outcomes.
Fixing the tooth may involve a bonded filling and may require numbing the area. If larger tooth fragments can be found, they can often be bonded back in place.
This photo shows an example of how broken or chipped teeth can be restored using bonding tooth colored materials.
Note: Pulp (nerve) exposures can be treated by an emergency technique performed by the dentist to alleviate pain, and final care provided up to seven days later without long-term effects.
A dentist will need to monitor the vitality of the dental nerve to check whether it is still living or has died as a result of trauma. This begins at 6 weeks after the injury and then periodically, usually at the six month checkup visits. Trauma to the nerve can take as long as 8 years to actually result in nerve death.
Less Urgent Treatment For A Chipped Primary Tooth
Chipped or fractured baby tooth: Treatment is similar to what would be done for an adult tooth for a mild or moderate fracture. If the fracture is severe, it may be handled differently depending on the proximity of the underlying permanent tooth. If the baby tooth can’t be saved it may need to be removed.
A tooth loosened or tender to touch: Treatment may not be required, but the dentist may want to monitor the tooth, to ensure that there is no damage to the underlying permanent tooth.
Note: Primary teeth are more likely to be removed to avoid jeopardizing the underlying permanent tooth. A space maintaining appliance may be needed until the permanent tooth erupts.
Additional Questions About Field-Side Dental Injuries
-
Why is it so important to replant a tooth within 5 minutes?
Research shows clearly that immediate (within 5 minutes) tooth replacement by replantation is the key factor for long-term survival of knocked out (avulsed) teeth. Two other factors are also of importance:
1. The removal of the dental pulp (the living tissue inside the tooth) by a dentist within a few days, — this tissue once separated from the body, will die and cause infection, unless it is removed and the space it occupied disinfected and filled.
2. The person’s age at the time of injury — the stage of growth, formation, and maturity of the teeth, roots, and jaw varies with age and can affect treatment decisions. -
What happens after 5 minutes?
Beyond 5 minutes: Keeping the tooth in cold milk or in the patient’s mouth (in their own saliva) will prevent dehydration. But survival is more dependent on factors described previously than by the transport medium.
After five minutes, the tooth will no longer be recognized by the body. This severely limits the body’s ability to reconnect the tooth to socket. The tooth will ankylose (become fused with the bone) and over time, the body will resorb (dissolve) it.
More than 15 minutes: Long term outcome is less favorable beyond fifteen minutes and further delay causes a fusion of the tooth to bone (ankylosis) followed by gradual root resorption (dissolving away) and tooth loss over a number of years.
At or beyond 12 hours: Tooth survival is possible for a period for time, depending on circumstance and the age of the patient; but ankylosis (fusion of tooth to bone) and/or resorption are inevitable.
Bottom line: Any permanent tooth that is avulsed (completely knocked out), should be replanted as soon as possible. Teeth replanted in pre-adolescents typically show shorter survival times than replantations in young adults because of the impact of the growth process. These factors will influence the decision whether to treat or to remove a recently replanted tooth.
-
Will it hurt to have my child's teeth fixed?
As a general rule the first obligation of any health professional is to relieve pain. This can often be accomplished immediately with topical anesthetics followed by local anesthesia, which will give several hours of relief, followed by taking pain killing and anti-inflammatory drugs like ibuprofen.
-
How much will it cost?
The answer varies depending on the dentist and the recommended treatment. Once your child is comfortable (see #3), your dentist should discuss all treatment options together with their risks, benefits and alternatives including costs.
-
If my kids front teeth protrude, are they more prone to injury?
Yes, people with upper front teeth that are very prominent or protruding are more likely to injure them, whether through sports or otherwise. The best defense is to wear a mouth guard for any activity where there’s a risk of injury. The more definitive choice is orthodontic treatment (braces) to move the teeth into a better position.
-
If replanted (adult) teeth in adolescents have a short survival rate, why bother?
Until he or she is finished growing and the jaw is finished developing, an adolescent is not a candidate for more long-term tooth replacement options (such as implants). However, the shortened survival rate is usually measured in years. So you can typically hang on to the injured tooth long enough to get through the developmental years and be ready to restore it for the long term when the time comes.
-
Why aren't baby teeth replanted?
For one, baby teeth will be lost in the normal course of events. Second, and most important, is the risk to the underlying permanent (adult) tooth posed by replanting a baby tooth. Time and cost are factors as well. Replantation of baby teeth is not recommended by Pediatric Dentists.